Implantologie dentaire

L'implant dentaire

dentiste Cudrefin

Dentiste Cudrefin implant dentaire

L’implant dentaire est un dispositif qui ressemble à une vis en titane et qui sert de racine artificielle à une prothèse dentaire.

Il a pour but de remplacer une dent manquante et assure donc toutes les fonctions de la racine en servant d’intermédiaire entre l’os de la mâchoire et la prothèse en elle-même.

Il peut permettre de poser une prothèse amovible (dentier) ou bien une prothèse dentaire fixe (bridge dentaire, couronne dentaire, prothèse complète, etc.).

Les implants sont fixés à l’intérieur de l’os de la mâchoire.

Dentiste Cudrefin

Pourquoi poser un implant ?

La pose d’un implant dentaire est proposée aux personnes dont une ou plusieurs dents sont extraites ou doivent être extraites..

Ce dispositif médical répond à un besoin esthétique puisqu’il vient remplacer la dent retirée.
Il peut également être nécessaire de poser un implant afin de faciliter la mastication et l’élocution voire pour éviter certaines pathologies liées à des dents manquantes.
Même si une seule dent est absente au sein de la mâchoire, c’est toute la bouche qui peut être déstabilisée. Il est donc souvent nécessaire de la remplacer pour éviter les déchaussements et la chute des autres dents.

La pose des implants peut ainsi se faire en même temps que l’extraction des dents.
Toutefois, il convient généralement d’attendre une période d’environ deux mois après l’extraction des dents pour poser l’implant. Ce délai est nécessaire afin que l’os cicatrise et puisse accueillir un implant.

Remplacer une dent abîmée ou manquante

Pose d’un implant dentaire, dentiste Cudrefin au cabinet dentaire à Sugiez

Votre médecin dentiste après une anesthésie locale pratique une incision, puis il décolle la gencive pour accéder à l’os alvéolaire.

Dentiste Cudrefin Implant dentaire Sugiez

Votre médecin dentiste prépare ensuite l’emplacement de l’implant dentaire dans l’os en passant plusieurs forets de diamètre croissant.

Le forage de l’os se fait à vitesse maîtrisée et lente sous irrigation, pour respecter la structure osseuse et éviter tout échauffement de celle-ci.

Le docteur Arnaud BLUNTZER arrête lorsqu’il a obtenu un puits d’un diamètre très légèrement inférieur à l’implant à poser.

Dentiste Cudrefin Implant_dentaire Sugiez
Dentiste Cudrefin Implant_dentaire Sugiez
Dentiste Vallamand Implant_dentaire Sugiez

L’implant est placé dans l’os, le plus souvent par vissage et doit avoir une liaison forte avec l’os. 

Dentiste Vallamand Implant_dentaire Sugiez
Dentiste Vallamand Implant_dentaire Sugiez

Votre médecin dentiste replace alors la gencive et pose des points de sutures.

Implant Dentaire Sugiez
Implant Dentaire Sugiez
Implant Dentaire Sugiez

Il faut attendre après la pose de l’implant dentaire, l’ostéo-intégration, qui peut durer plusieurs mois.

L’implant va se souder complètement avec l’os et contrairement à la dent naturelle, il n’y a pas de souplesse ou de mobilité physiologique dues au ligament alvéolo-dentaire.

À l’issue de sa mise en place chirurgicale, une bague de cicatrisation en titane peut être directement vissée sur l’implant. Ainsi une seconde chirurgie ne sera pas nécessaire pour découvrir l’implant.

Mise en charge immédiate

La technique en une seule étape chirurgicale n’est pas toujours possible, c’est à votre médecin dentiste de prendre la décision.

Pour finir, une prothèse dentaire sera mise sur cet implant qui se comportera comme une racine artificielle.

Implant Dentaire Mont de Vully

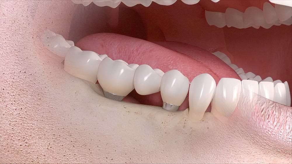
Remplacer plusieurs dents absentes ou abîmées

Exemple de 3 dents manquantes remplacées par un bridge sur implants.

Dentiste Cudrefin Bridge sur Implants dentaires Sugiez
Dentiste Vallamand Bridge sur Implants dentaires Sugiez
Dentiste Cudrefin Bridge sur Implants dentaires Sugiez

Stabiliser un appareil amovible.

Les implants peuvent aussi servir à stabiliser un appareil amovible au maxillaire supérieur comme au maxillaire inférieur.

Dans ce cas, les implants retiennent la prothèse amovible par des systèmes d’attachement.

Deux techniques sont possibles.

Elles font appel à la barre de rétention ou aux boutons-pressions. Dentiste Cudrefin

Dentiste cudrefin Implantologie dentaire
Dentiste cudrefin Implants dentaires
Dentiste cudrefin Prothese amovible attachement retentif
Dentiste Sugiez Implantologie dentaire
dentiste Sugiez Prothese amovible attachement retentif