La maladie parodontale

Qu'est ce que la gingivite ?

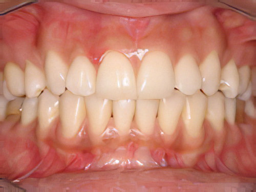
La gingivite est une inflammation des gencives.

Quels sont les signes cliniques de la gingivite ?

La gencive gonfle, devient rouge, lisse et brillante.

Souvent douloureuse, elle saigne au moindre contact (au brossage ou en croquant une pomme).

Il lui arrive même de saigner spontanément.

dentiste Gals Brossage Dents
maladie parodontale dentiste Cudrefin, , Gingivite

Pour traiter la gingivite, il faut éliminer la plaque dentaire grâce à un brossage efficace.

Le plus souvent bénigne et facile à traiter, la gingivite est réversible si la plaque dentaire est éliminée grâce à un brossage efficace.

dentiste Gals gingivite
dentiste gals gingivite

Le tartre est un irritant local, lorsqu’il est présent, il maintient l’inflammation et doit être éliminé lors d’une séance de détartrage.

Tartres dentaire Sugiez
La maladie parodontale dentiste Cudrefin tartres dentaire

Certains facteurs rendent le brossage difficile et favorisent l’accumulation de la plaque.

Des dents en mauvaise position, des anciens plombages ou anciennes prothèses usées…
D’autres facteurs plus généraux parmi lesquels le diabète, les changements hormonaux tels que la puberté et la grossesse, l’ingestion de certains médicaments ou le tabac peuvent favoriser la gingivite.

Soyez vigilants si vous observez des changements au niveau de vos gencives ! Lorsque la gingivite n’est pas traitée, elle évolue en altérant les tissus de soutien de la dent. On parle alors de parodontite

La parodontite

La parodontite est une maladie infectieuse qui atteint les tissus de soutien de la dent et qui peut conduire à la perte des dents.

La maladie parodontale dentiste Cudrefin parodontite

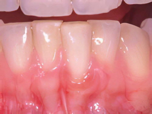
L’attache gingivale entoure et protège la dent.

Sous l’action de certaines bactéries, cette attache est rompue puis migre vers l’extrémité de la racine en formant des poches parodontales.

Les bactéries de la plaque bactérienne continuent à s’infiltrer et s’accumuler en profondeur pour détruire les tissus qui soutiennent la dent.

La plaque dentaire, emprisonnée sous la gencive, ne peut plus être éliminée au brossage et se transforme en tartre en aggravant le phénomène de destruction.

Progressivement, l’os qui entoure la dent est détruit.

Attention la gencive peut rester en place en surface pendant que l’os est détruit en profondeur.
On croit alors que tout va bien…

La maladie parodontale dentiste Cudrefin déchaussement dentaire
dentiste Gals maladie parodontale

Sans traitement, la maladie parodontale aboutit à la mobilité puis à la perte des dents .

La maladie parodontale dentiste Cudrefin parodontite 03

Le déchaussement des dents

Le déchaussement est la principale cause de la perte des dents chez l’adulte mais ce n’est pas une fatalité.

Certaines bactéries présentes dans la plaque dentaire sont responsables de la formation de la carie dentaire.

La maladie parodontale dentiste Cudrefin déchaussement dentaire

D’autres fabriquent et libèrent toxines et enzymes responsables du déchaussement des dents.

Ce sont des maladies infectieuses qui peuvent affecter les gencives, on parle de gingivite.

C’est un signe précurseur du déchaussement. Elle peut être localisée à une seule dent ou à toutes les dents.

Lorsque la maladie atteint les tissus qui soutiennent la dent (parodonte), on parle de parodontite.

Bactéries, parasites et virus ne suffisent pas pour déclencher le déchaussement des dents. Le déchaussement n’est possible que si le pouvoir destructeur des germes est plus fort que le système de défense de l’individu.

La maladie parodontale dentiste Cudrefin déchaussement dentaire

En absence de traitement,
la 
gingivite puis la parodontite entraînant à plus ou moins long terme la mobilité t et la perte d’une ou plusieurs dents.

Comment se manifeste le déchaussement ?

Les manifestations cliniques du déchaussement sont très diverses.

Si vous observez un changement au niveau de la couleur ou la forme de vos gencives, de la longueur ou de la position de vos dents, n’hésitez pas à en parler à votre médecin dentiste.

La maladie parodontale dentiste Cudrefin déchaussement dentaire

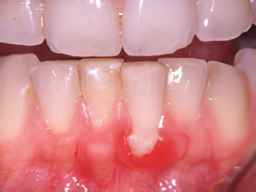
Vos dents peuvent paraître plus longues suite à la rétraction de la gencive.

dentiste Gals maladie parodontale

Les dents peuvent parfois s’écarter entre elles.

La maladie parodontale dentiste Cudrefin déchaussement dentaire

Les dents semblent bouger en serrant les dents ou en mastiquant.

Si aucun traitement n’est entrepris, la destruction continue jusqu’à la chute spontanée de la dent.

Le déchaussement des dents est parfois accompagné par l’apparition d’un abcès.

Soyez attentifs à vos dents et vos gencives !

Mais attention ! l’os peut se déchausser plus rapidement que la gencive et l’on croit que tout va bien.

La parodontite est une maladie d’origine bactérienne qui peut représenter un facteur de risque pour l’état de santé général.