Esthétique du sourire
dentiste Vallamand
Dans cette rubrique
La couronne dentaire
Esthétique du sourire
dentiste Vallamand
Le sourire est devenu une préoccupation quotidienne.
L’évolution des matériaux et des techniques permettent d’améliorer plus facilement et plus rapidement l’esthétique de votre sourire.
Les composites
permettent d’apporter une » solution » rapide au niveau des dents antérieures.
La solution est fragile et moins durable dans le temps.
L’éclaircissement
L’éclaircissement des dents, réalisé au cabinet ou à la maison, permet d’éliminer partiellement les pigments responsables des colorations profondes des dents
Les facettes dentaires
Elles sont collées et recouvrent partiellement les dents.
Elles permettent, en deux ou trois séances au cabinet dentaire de corriger certains défauts de surface, de couleur ou de légères malpositions.
Les couronnes
Elles recouvrent totalement les dents.
Elles permettent de restaurer des dents fracturées ou altérées ou protéger des dents fragiles.
Éclaircissement dentaire
En quoi consiste un blanchiment dentaire ?
Quand notre sourire nous complexe au point de nous cacher, d’éviter d’être en relation avec les autres, cela peut alors avoir une forte incidence sur notre bien-être et donc notre santé.
Le blanchiment dentaire est une technique simple qui permet d’éclaircir les dents grâce à l’application d’un gel à base de peroxyde d’hydrogène, plus communément appelé eau oxygénée (ou de peroxyde de carbamide, qui se décompose en peroxyde d’hydrogène).
Afin de maintenir le gel sur la dent plusieurs heures d’affilées, il est appliqué à l’aide de ce que l’on appelle une « gouttière » amovible à placer sur les dents
Les traitements d’éclaircissement dentaire promettent une blancheur éternelle ?
La dent se re-pigmente, tout comme elle aurait continué à se pigmenter au fil du temps, mais on ne perd pas le bénéfice d’un blanchiment.
Certains patients ne reviennent pas nous voir avant 5 ou 10 ans.
Il faut savoir cependant qu’en vieillissant nos dents sont de moins en moins blanches car l’épaisseur de l’émail diminue. Or c’est l’épaisseur de l’émail qui détermine la blancheur des dents. En effet, la coloration de la dent dépend de la dentine, c’est elle qui est colorée. L’émail qui recouvre la dentine est translucide, mais plus elle est épaisse, et plus elle masque cette dentine.
Traitement classique de blanchiment des dents ?
Votre médecin dentiste Vallamand
prépare ou fait préparer par un prothésiste une gouttière thermoformée sur la base d’une empreinte prise sur le patient.
Elle est donc fabriquée sur mesure. La plupart du temps, il faut environ une semaine pour la fabriquer.
Puis le traitement se passe à la maison. En général, on pose les gouttières avec le gel éclaircissant toute la nuit durant 2 semaines.
Y a-t-il des effets secondaires problématiques pour le blanchiment dentaire ?
Le principal problème est l’hypersensibilité.
c’est pourquoi il est important que votre médecin dentiste procède à un contrôle. Il doit s’assurer que le patient ne présente pas de restaurations dentaires qui ne soient pas étanches et qu’il n’ait pas de caries évolutives. Le produit ne doit pas pénétrer facilement dans la pulpe, ce qui pourrait provoquer une pulpite et serait très douloureux. Heureusement d’ailleurs que c’est douloureux, ainsi les patients stoppent le traitement avant que les dommages sur la pulpe de la dent ne soient irréversibles.
Il faut aussi vérifier que le patient n’a pas de maladies parodontales, c’est-à-dire au niveau des gencives. Il y aurait à nouveau un risque important d’hypersensibilité pulpaire au produit. Là encore, il faudrait suspendre le traitement. Les gouttières thermoformées sur mesure délivrées par votre médecin dentiste permettront en outre d’éviter le débordement du gel sur les gencives, ce qui peut être très douloureux, un peu comme une brûlure.
Si on est sujet à des hypersensibilités durant le traitement, faut il le stopper ?
Il faut prévenir votre médecin dentiste Vallamand
Le traitement ne sera pas forcément arrêté définitivement et le médecin dentiste peut proposer de l’adapter. La plupart du temps, on porte la gouttière avec le gel durant la nuit pendant en général 2 semaines.
S’il y a une hypersensibilité lors du traitement, on peut préconiser une alternance, ou de diminuer un peu la durée journalière du port de la gouttière. Il arrive cependant que cela soit trop douloureux pour le patient et qu’il faille arrêter le traitement. Il n’y a en revanche aucun risque de toxicité.
Un traitement blanchissant est-il efficace sur des tâches dues au café, au thé, au vin ou au tabac ?
Ce type de tâches n’est pas forcément incorporé, c’est-à-dire qu’il s’agit parfois juste d’un dépôt qui peut être traité avec un détartrage et un polissage des dents. Là encore, si le patient fait un traitement seul à la maison, il va dépenser de l’argent pour retirer des tâches qui pourraient être éliminées avec un simple détartrage.
Il y a cependant parfois des pigments qui » s’incorporent » à la composition chimique des dents, et dans ce cas, on peut avoir de bons résultats grâce au peroxyde d’hydrogène.
Les facettes dentaires
pour améliorer votre sourire
Ne cachez plus votre sourire !
La dentisterie cosmétique ou esthétique vous apporte de nouvelles solutions.
Il est possible de nos jours, d’améliorer un sourire sans changer toutes les dents.
Comment réalise-t-on des facettes céramiques collées ?
Les facettes céramiques sont de fines plaquettes en céramique,
ressemblant à des » faux ongles « , collées sur les dents dont la surface a été légèrement réduite en épaisseur.
Après la préparation des dents au cabinet dentaire à Sugiez,
les facettes sont fabriquées par le prothésiste.
Les facettes sont enfin collées sur les dents.


Grâce à la technique des facettes, il est possible de
- réparer des dents dont les angles sont fracturés,
- donner l’illusion de modifier la position des dents,
- changer la forme d’une ou plusieurs dents,
- améliorer le sourire en réalisant des facettes sur plusieurs dents en même temps.
Les résultats esthétiques obtenus grâce aux facettes sont rapides.Ils demandent en général deux à trois séances.
Ils présentent l’avantage de conserver les dents vivantes mais leurs indications sont précises.
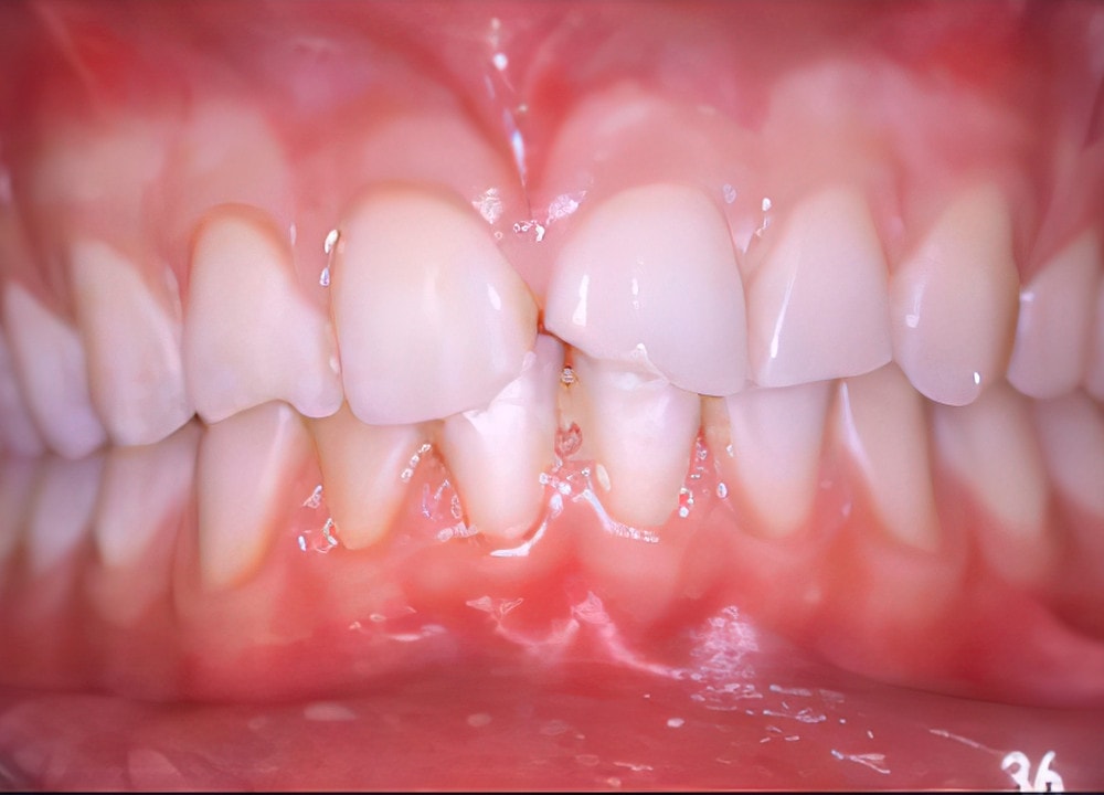
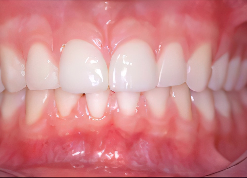
Couronnes sur dents antérieures
Comment retrouver un joli sourire lorsque les dents naturelles sont abîmées ?
Que signifie couronner une dent ?
Couronner signifie recouvrir intégralement une dent, changer la partie visible de la dent tout en conservant la racine, car les techniques d’éclaircissement ou d’embellissement des dents à l’aide de facettes ne sont pas suffisant pour offrir un résultat satisfaisant.
Dans quels cas est-il préférable de couronner une dent ?
Une dent fracturée ne peut pas toujours être réparée simplement avec une technique de soins habituelle.
Une dent peut changer de couleur après une dévitalisation.
Les matériaux composites utilisés pour soigner une dent finissent par vieillir dans le temps et ne donnent plus un résultat satisfaisant.
Si on souhaite changer la forme générale des dents pour une meilleure harmonie du sourire.
Eclaircissement, facettes collées ou couronnes dentaires sont des techniques adaptées à chaque situation clinique.
Les matériaux récents, les techniques de collage et d’éclaircissement ont permis de répondre à de nombreuses situations sans obligatoirement et systématiquement couronner les dents